Modulação da dor orofacial e DTM com canabinoides: mecanismos de ação e eficácia clínica
Artigo
Introdução: As disfunções temporomandibulares (DTM) e outras condições de dor orofacial representam um desafio clínico significativo na prática odontológica, afetando milhões de pacientes mundialmente. Os tratamentos convencionais frequentemente apresentam limitações em termos de eficácia e efeitos adversos, criando uma necessidade urgente por alternativas terapêuticas inovadoras. Objetivo: Essa revisão tem como objetivo analisar o estado atual do conhecimento sobre o uso de canabinoides na modulação da dor orofacial e DTM, examinando os mecanismos de ação subjacentes e...
Autores: Alethéia B. Pablos, Guilherme Arthur Martins,
Quem mais ensina, hoje, é quem mais sabe ou quem mais aparece? No passado, o professor era o único transmissor de conhecimento. O palco era a universidade, o diploma definia o nível de autoridade, as conexões profissionais aconteciam apenas nos grandes congressos e a ciência era a única linguagem válida. Mas a Odontologia, assim como toda sociedade, mudou. A forma de aprender mudou. A forma de ensinar mudou. E, principalmente, a forma de impactar também mudou. Vivemos hoje a era da...
Leia maisObjetivo: Avaliar os efeitos de produtos à base de carvão ativado, em duas formas de apresentação (pó e dentífrico), comparados ao tratamento clareador caseiro (peróxido de carbamida a 10%), na rugosidade do esmalte dentário. Material e Métodos: Foram selecionados 56 participantes e alocados em quatro grupos experimentais (n=14): carvão ativado na forma de pó (CA-P); carvão ativado na forma de dentifrício (CA-D); dentifrício fluoretado convencional (DC) e; peróxido de...
Leia maisFalar sobre o futuro do trabalho é, acima de tudo, olhar para o presente com coragem. Não é uma questão de prever tendências (nem acho que conseguiria, diante de um mundo que evolui a cada segundo), mas de perceber as transformações que já estão acontecendo e que exigem, desde já, uma nova postura dos profissionais — especialmente na Odontologia. A Era em que o domínio técnico era o único diferencial acabou. Hoje, as chamadas “hard skills” — essenciais, sim — já não...
Leia maisCaros colegas dentistas, quantas vezes nos deparamos com a frustração de ver um paciente retornar ao consultório com o mesmo problema, ou até com um novo problema, logo após um tratamento que parecia perfeito? Dentes fraturados, restaurações que não resistem, casos que se arrastam sem uma solução definitiva. Queixas de dores dentárias que são refratárias aos diferentes protocolos de intervenção. Você também já viveu esse cenário? Nossa formação nos ensinou a ser...
Leia maisObjetivo: O objetivo desse estudo foi avaliar diferentes protocolos de tratamento de superfície na resistência de união entre compósito resinoso impresso (CRI) com indicação restauradora, tendo como controle um compósito resinoso convencional (CRC). Métodos: Discos de CRI (Biocrown) e CRC (Z100) foram embutidos em acrílico e lixados até a granulação #2000. Seis tratamentos de superfícies (TS) foram testados: S (jateamento com óxido de alumínio)+Si (Silano)+SBU (Single Bond...
Leia maisOlá leitor! Ontem recebi uma mensagem de um colega super experiente, que me fez a seguinte pergunta: “Estou querendo comprar um scanner intraoral, pois preciso entrar no mundo digital. Qual equipamento você me recomenda?" Isso me fez querer falar um pouco sobre uma grande aliada dos clínicos: a Odontologia digital. Nos últimos anos, a Odontologia tem vivido uma verdadeira revolução silenciosa. Silenciosa, porque acontece ali, no consultório, na cadeira, no escaneamento rápido de...
Leia maisDurante muito tempo, o dentista que ganhava dinheiro era aquele que dominava a técnica, resolvia o problema do paciente à sua maneira, sem grandes exigências de comunicação. Em uma época em que o acesso à informação era limitado, o que o dentista dizia e oferecia era “lei”. Era comum acreditarmos que dominar os procedimentos clínicos seria o suficiente para manter um consultório próspero. Mas a realidade do mundo mudou e o mercado odontológico também.
Leia maisIntrodução: O uso de cigarros eletrônicos tem crescido mundialmente, sendo erroneamente considerado uma alternativa menos nociva ao tabagismo convencional. No entanto, estudos demonstram que seus componentes podem impactar negativamente a saúde bucal, predispondo ao desenvolvimento de cárie, hipossalivação e desgaste dentário. Objetivo: Relatar um caso clínico de um paciente jovem e usuário de cigarro eletrônico (vape), evidenciando suas repercussões na saúde bucal e a...
Leia maisIntrodução: As disfunções temporomandibulares (DTM) e outras condições de dor orofacial representam um desafio clínico significativo na prática odontológica, afetando milhões de pacientes mundialmente. Os tratamentos convencionais frequentemente apresentam limitações em termos de eficácia e efeitos adversos, criando uma necessidade urgente por alternativas terapêuticas inovadoras. Objetivo: Essa revisão tem como objetivo analisar o estado atual do conhecimento sobre o uso de...
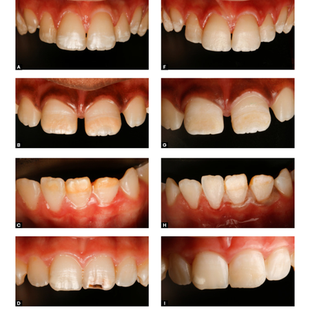
Leia maisIntrodução: A hipomineralização do esmalte é um defeito qualitativo que ocorre devido a uma injúria durante as fases de calcificação ou maturação, manifestando- se como opacidades difusas ou demarcadas de diferentes tamanhos e cores, variando do branco-creme ao amarelo-marrom. Esses defeitos, frequentemente localizados em incisivos, podem representar importantes desafios estéticos. A infiltração resinosa, um procedimento minimamente invasivo que utiliza resina de baixa...
Leia maisIntrodução: Defeitos de desenvolvimento do esmalte, como a Hipomineralização Molar- Incisivo (HMI), constituem desafios clínicos significativos, devido às suas manifestações estéticas e ao impacto negativo na qualidade de vida relacionada à saúde bucal dos pacientes. Objetivo: Este relato de série de casos propõe um protocolo inovador que integra o uso do laser de Er:YAG antes de realizar a infiltração resinosa para o tratamento de dentes acometidos por hipomineralização....
Leia maisIntrodução: A dor orofacial afeta a qualidade de vida dos pacientes, podendo interferir em funções essenciais como fala e mastigação. Dessa forma, a terapia complementar com canabinoides tem emergido como uma alternativa promissora, devido às suas propriedades analgésicas e anti-inflamatórias. Objetivo: Realizar uma revisão integrativa sobre o uso complementar da terapia canabinoide no tratamento da dor orofacial. Metodologia: Foi conduzida uma busca bibliográfica nas bases de...
Leia maisIntrodução: Existem cinco lesões ou doenças ‘verdadeiramente’ cervicais, por terem origem exclusiva nessa região. Metodologia: Para essa distinção e conceito, se diferenciou os termos: doença, entidade clínica, patologia e lesão. Também se descreveu o ambiente cervical onde as lesões verdadeiramente cervicais se originam e a partir do qual evoluem. Resultados: O sulco palato gengival se adéqua perfeitamente ao conceito de lesão e doença cervical verdadeira. Discussão:...
Leia maisWho teaches the most today, the one who knows the most or the one who shows up the most? In the past, the teacher was the sole transmitter of knowledge. The stage was at the university, the diploma defined the level of authority, professional connections were made only at major conferences, and science was the only valid language. But dentistry, like all society, has changed. The way of learning has changed. The way of teaching has changed. And, most importantly, the way to impact has also...
Leia maisObjective: To evaluate the effects of activated charcoal-based products in two forms (powder and dentifrice), compared to home bleaching treatment (10% carbamide peroxide), on the roughness of dental enamel. Materials and Methods: 56 participants were selected and allocated into 4 experimental groups (n=14): activated charcoal powder (AC-PW), activated charcoal dentifrice (AC-D), conventional fluoridated dentifrice (CD), and 10% carbamide peroxide (CP). The products were used for 14 days....
Leia maisTalking about the future of work is, above all, about looking at the present with courage. It’s not a matter of predicting trends (I doubt that’s even possible in a world that evolves by the second), but of recognizing the transformations already underway—transformations that demand a new mindset from professionals, especially in Dentistry. The era when technical skills alone set you apart is over. Today, so-called hard skills—while still essential—are no longer enough to sustain a...
Leia maisDear dental colleagues, how often do we face the frustration of a patient returning to the clinic with the same problem, or even a new one, shortly after a seemingly perfect treatment? Fractured teeth, restorations that fail to endure, cases that drag on without a definitive solution. Complaints of dental pain that prove refractory to various intervention protocols. Have you also experienced this scenario? Our training taught us to specialize in restoring what broke, adjusting occlusion,...
Leia maisObjective: This study aimed to evaluate different surface treatment protocols on the bond strength between a printed resin composite (PRC) indicated for restorative purposes and, as control, a conventional resin composite (CRC). Methods: PRC (Biocrown) and CRC (Z100) discs were embedded in acrylic and polished up to 2000-grit. Six surface treatments (ST) were tested: S (aluminum oxide air-abrasion) + Si (silane) + SBU (Single Bond Universal); S + SBU; SBU; S + Si + SBUP (Scotchbond Universal...
Leia maisHello, reader! Yesterday I received a message from a very experienced colleague who asked me the following question: “I’m thinking of buying an intraoral scanner because I need to enter the digital world. Which equipment would you recommend?” That made me want to talk a little about one of the clinicians’ greatest allies: Digital Dentistry. In recent years, Dentistry has experienced a true silent revolution. Silent because it takes place right there, in the clinic, in the dental...
Leia maisFor a long time, the dentist who earned the most was the one who mastered clinical techniques and solved patients’ problems in their own way, without major communication requirements. In an era when access to information was limited, what the dentist said and offered was considered “law.” It was common to believe that mastering clinical procedures alone would be enough to maintain a prosperous practice. However, the reality of the world has changed and so has the dental market.
Leia maisIntroduction: The use of electronic cigarettes has been increasing worldwide, often mistakenly considered a less harmful alternative to conventional smoking. However, studies show that their components can negatively impact oral health, predisposing individuals to caries development, hyposalivation, and dental wear. Objective: To report a clinical case of a young patient who uses vape, highlighting its repercussions on oral health and the importance of anamnesis and clinical examination in...
Leia maisIntroduction: Temporomandibular disorders (TMD) and other orofacial pain conditions represent a significant clinical challenge in dental practice, affecting millions of patients worldwide. Conventional treatments often have limitations in terms of efficacy and adverse effects, creating an urgent need for innovative therapeutic alternatives. Objective: This review aims to analyze the current state of knowledge on the use of cannabinoids in the modulation of orofacial pain and TMD, examining...
Leia maisIntroduction: Enamel hypomineralization is a qualitative defect that occurs due to an injury during the calcification or maturation phases, presenting as diffuse or demarcated opacities of varying size and color, ranging from white-cream to yellow- brown. These defects, often affecting incisors, can pose significant aesthetic issues. Resin infiltration, a minimally invasive procedure utilizing low-viscosity resin, aims to improve the appearance of teeth affected by developmental enamel...
Leia maisIntroduction: Developmental enamel defects, such as Molar-Incisor Hypomineralization (MIH), present significant clinical challenges due to their aesthetic manifestations and the negative impact on the oral health-related quality of life of patients. Objective: This case series report proposes an innovative protocol in which Er:YAG laser is used prior to resin infiltration for treatment of teeth affected by hypomineralization. Methods: Five pediatric patients from the Enamel Defects Clinic at...
Leia maisIntroduction: Orofacial pain negatively affects patients’ quality of life, potentially interfering with essential functions such as speech and mastication. In this context, complementary therapy with cannabinoids has emerged as a promising alternative due to its analgesic and anti-inflammatory properties. Objective: To conduct an integrative review on the complementary use of cannabinoid therapy in the management of orofacial pain. Methodology: A integrative review was carried out in the...
Leia maisIntroduction: There are five ‘truly’ cervical lesions, or diseases, as they originate exclusively in that region. Methodology: For this distinction and concept, the following terms were differentiated: disease, clinical entity, pathology, and lesion. The cervical environment where true cervical lesions originate and from which they evolve was also described. Results: The palatogingival groove fits perfectly with the concept of true cervical lesion or disease. Discussion: This first...
Leia maisCopyright © 1996 - 2024 DentalGO | Todos Direitos Reservados. DentalGO é uma marca Dental Press
Login